自費クリーニング(PMTC)
歯科医院にて専用の機器を使用して行う高度なクリーニングです。
保険診療の範囲では落としきれない汚れも落とすことが出来、歯本来の白さを取り戻せるだけでなく、着色や菌などの汚れが歯につきにくくなります。
虫歯や歯周病の予防にもつながります。
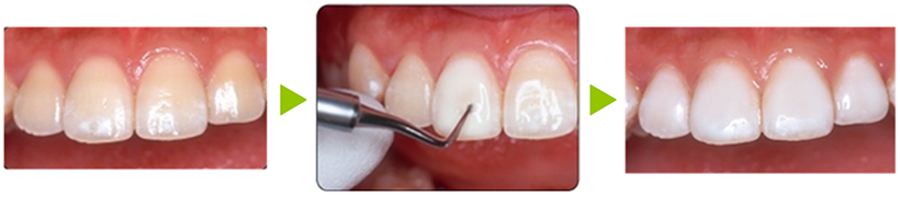
自費クリーニング(PMTC)の流れ
【 STEP1 】染め出し
歯の汚れを赤く染め、汚れのとり残しを防ぎます。
磨けていない部分があれば歯磨き指導も行います。
【 STEP2 】エアフロー
歯に水と細かいパウダーの入ったスプレーを吹きかけることで汚れや着色を落とし、歯を白くつるつるにします。
【 STEP3 】歯石除去
歯石を除去します。拡大鏡を使用し細かい歯石も除去します。
【 STEP4 】フロッシング
フロスをしっかりと通し、歯と歯の間の汚れを除去します。
【 STEP5 】歯面研磨・トリートメント剤の塗布
研磨剤を用いて歯の表面をつるつるにし、歯面の傷を修復するトリートメント剤を塗布します。
【 STEP6 】フッ化物塗布
フッ化物を塗布し、歯の表面をコーティングします。
自費クリーニング(PMTC)の費用
11,000円(税込)


