初診カウンセリング(初診相談)って何をするの?
歯並びや咬み合わせが気になる方、矯正治療にご興味をお持ちの方を対象にしたカウンセリングです。
ご自身やお子様の歯並び・咬み合わせが今どのような状態で、矯正治療が必要なのか、必要な場合はいつから始めるのか、期間、費用はどのくらいかをご説明致します。
カウンセリングを受けたからといって、必ず当院で矯正治療を始めなければならないというわけではありません。
矯正治療に対する疑問や不安を解決する場としてご活用下さい。
歯並びや咬み合わせが気になる方、矯正治療にご興味をお持ちの方を対象にしたカウンセリングです。
ご自身やお子様の歯並び・咬み合わせが今どのような状態で、矯正治療が必要なのか、必要な場合はいつから始めるのか、期間、費用はどのくらいかをご説明致します。
カウンセリングを受けたからといって、必ず当院で矯正治療を始めなければならないというわけではありません。
矯正治療に対する疑問や不安を解決する場としてご活用下さい。



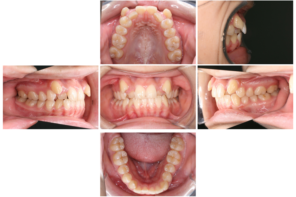
お口の中の写真撮影
お口の中の写真を撮影することで、歯の大きさや咬み合わせ、歯茎の状態などを確認することで、使用する装置、治療期間などが分かります。
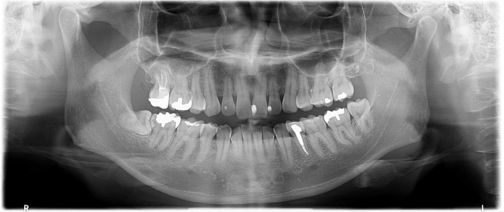
レントゲン撮影(ご希望の場合のみ)
レントゲン撮影を行うことで、肉眼では確認できない歯茎の中の骨の状態や、これから生えてくる永久歯の状態、親知らずの状態が分かります。治療の開始時期や治療の必要性などが判断出来ます。

